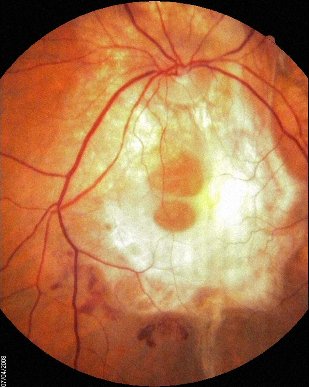
Atingindo pacientes com 65 anos de idade ou mais, a degeneração macular relacionada à idade (DMRI) traz grandes riscos a visão central e em estágios mais avançados, pode causar a cegueira.
Assim, o principal tratamento para degeneração macular é realizado por meio de aplicações de injeção intravítrea, que apesar de não ser a cura definitiva, pode controlar e até mesmo reverter os sintomas.

O procedimento é realizado com aplicação de medicamentos diretamente no olho afetado, fazendo com que a degeneração macular não avance.
Para um tratamento bastante efetivo e com bons resultados é fundamental um diagnóstico precoce.
Quer saber mais? Agende seu horário!
Tratamento da DMRI em Ponta Grossa
Dr. Alessandro Both – Oftalmologista CRM/PR 18683 – RQE 12147
Instituto da Visão de Ponta Grossa
Celular: (42) 99123-4330
Telefone: (42) 3229-0919
Endereço: Ed. Corporate Center, sala 601
#DMRI #ivpg #visao #pontagrossaoftalmo #oftalmologia #oftalmo #saudedosolhos





